這次的病患是Miso(化名),今年6歲,是一隻已絕育的米克斯母犬(忘了說,非常可愛)。
主訴是左側腹壁有一個巨大的皮下團塊。
我們的第一步是採樣,採樣的過程中,就有大量的血水流出,原本腫大的團塊彷彿消風了一般,變得像沒氣的氣球一樣扁。
幾天後採樣的結果出來了,診斷為:非典型間葉細胞、疑似軟組織肉瘤(atypical mesenchymal cells, probable soft tissue sarcoma)。
這個診斷非同小可,軟組織肉瘤是數一數二的惡性腫瘤,我們趕緊請家長帶毛孩掃電腦斷層,希望能界定出團塊的範圍,因為很多時候表面上摸到的腫瘤,和底部浸潤得多深多廣,常常是兩回事。

第一次手術就是成功率最高的一次,一定要在手術前確定好切除的範圍(尤其是底部組織),才有機會讓病患擺脫腫瘤、順利康復。
掃電腦斷層時,影像科醫師又採樣了一次,送檢國外的單位,得到的結果和第一次相同。
這代表把這顆團塊當作惡性腫瘤來切除,會是最安全的選項。
電腦斷層
如果懷疑毛孩體壁的團塊是軟組織肉瘤時,在手術前先掃電腦斷層,我認為會對規劃手術非常有幫助。
例如在這張圖,這是毛孩第6腰椎的切面,可以見到是腫瘤最明顯、最深的位置。
在此切面可見:從腫瘤區的皮膚到肌肉層,深度約為2.6到3.0公分。
我能夠預先設定好:在安全的範圍內,手術時能切多大的範圍。

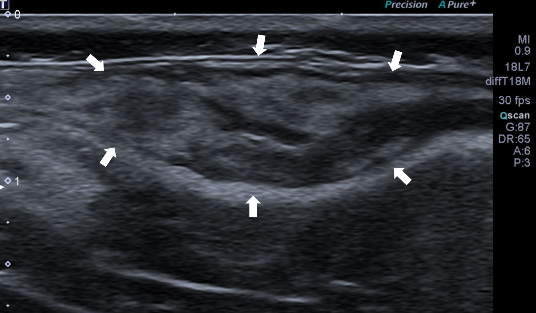
超音波
由於細針採樣後大量液體流出,團塊完全消退,導致光憑肉眼或觸診無法準確的定位團塊的位置,所以我們除了使用電腦斷層外,也以超音波輔助的方式逐步定位出團塊的12、3、6、9點鐘與更細微的邊界。
定位出邊界後,以縫線加皮釘在皮膚上做記號。
再以麥克筆畫出3公分的邊界,這就是我們設定要切除的範圍。




手術開始
團塊位於左側腹壁(flank region)大約在第5到7腰椎,浸潤在皮下的範圍為6×6公分、厚度1.5公分。
我計畫沿團塊周圍3公分的邊界切除,底部則將3公分厚的皮下脂肪層全部挖掉,然後移除一層肌膜。
團塊切除後的巨大缺損,將會以腹側帶血管的皮摺皮瓣關閉。





最背側有一道傷口,是所謂的減張切線(relaxing incision),是替皮瓣分攤張力用的。

術後照顧
手術雖然順利,但在術後照顧上也碰到了幾個難關。
首先是術後第2天開始的左後腳水腫,我推測可能的原因是腹壁挖掉了巨大的團塊,又做了一個皮瓣往上縫合的關係,導致靜脈和淋巴管的流向被改變。
我們以棉捲和彈繃加壓包紮,並時不時更換,搭配原本就有的消炎藥,左後腳的水腫總算在3天後消退。



緊接著是術後第7天開始有滲出液累積在鼠蹊部位,以無菌針筒抽取是清澈淡紅色液體,也沒有感染的證據。
觀察一週後,我們發現液體在鼠蹊愈積愈多,也讓毛孩不舒服,只好再麻醉一次,以無菌方式放置皮下引流管(在腫瘤外科為怕腫瘤沿引流管路徑轉移,原本我是能不放引流管就不放的)。

至此之後的每天都能從引流管中倒出大量液體,大概到了術後30天,引流液才慢慢少到能夠移除引流管的程度。
在這一個月照顧傷口的過程中,多虧了毛孩家人們24小時無微不至的照顧,有任何狀況就馬上帶她衝回來醫院處理,才讓傷口恢復得如此順利,而且毛孩的精神食慾也都維持得很好,真的要給辛苦的姊姊們比個讚。

術後40天左右,我們把傷口的縫線全部移除,傷口癒合得很漂亮,等待毛長出來後,應該就看不出來這個怵目驚心的傷痕了。


後記
這次手術的難處在於團塊切除後的缺損很巨大,而且就在背正中線上,是個較為腹側的皮瓣就很難到達的地方。
我準備了3個方案,在手術前擬定了誰先誰後,還好最後最單純的方案一就完成了任務。
這個缺損如果單靠皮瓣撐著,因為張力過大,皮瓣在術後可能會難逃壞死、發黑的命運,所以我還加做一個減張切口(在最背側的皮膚),替皮瓣分憂解勞,沒有它,我想傷口最後不可能癒合得這麼漂亮。
令人高興的是,將整個團塊送檢得到的病理報告結果為:脂層炎伴隨纖維化 (Panniculitis, lobular and septal, granulomatous, moderate, chronic, locally extensive, with fibrosis)。
手術前病理醫師診斷為「疑似惡性」,手術後卻翻盤變成「良性」,在我的臨床經驗中,這並不少見,只要手術內容沒問題,病患恢復良好,對我而言就是最好的結果。